Një pacient i quajtur ‘burri i palosshëm’ më në fund mund të qëndrojë përsëri drejt pas një operacioni që i ndryshoi jetën për të rregulluar shpinën e tij të përkulur. Li Hua, nga provinca Hunan e Kinës, thuhet se ka jetuar me fytyrën e shtypur pas kofshëve për dy dekada, sipas raporteve lokale.
46-vjeçari u diagnostikua me spondilit ankilozant (AS) në vitin 1991 në moshën 18-vjeçare, pretendojnë mediat kineze. Pas një sërë operacionesh me rrezik të lartë këtë vit, ai ka mundur të qëndrojë plotësisht drejt për herë të parë në 28 vjet. Mjekët që trajtuan zotin Hua, i cili kishte vështirësi për të ngrënë ose pirë para operacionit, shpresojnë se ai do të jetë në gjendje të ecë pa ndihmë në tre muajt e ardhshëm.

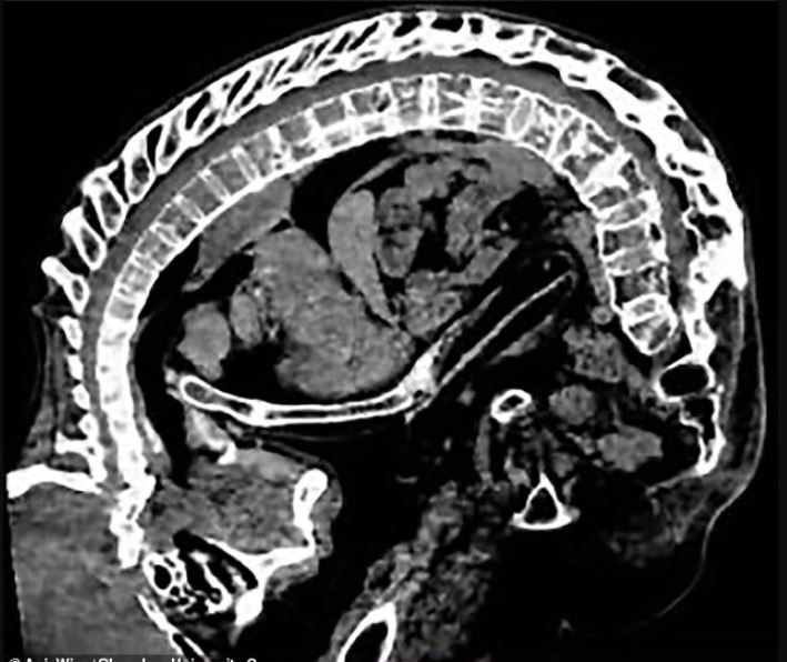
Gjendja e Hua u përkeqësua në pesë vitet e fundit. Ai mat vetëm 90 cm në lartësi për shkak të kurrizit të tij shumë të lakuar. Në maj të këtij viti, familja e zotit Hua u ndesh me profesorin Tao Huiren, kreun e kirurgjisë kurrizore dhe ortopedisë në Spitalin e Përgjithshëm Universitar Shenzhen.

Profesor Huiren kishte trajtuar pacientë të tjerë ‘të palosshëm’ me kushte të ngjashme të shtyllës kurrizore, por asnjë rast i të cilit nuk ishte aq i rëndë, thanë raportet. Hua tha: “Nuk kishte asnjë kurë për mua pa Dr Tao. Ai është shpëtimtari im dhe mirënjohja ime për të është e dyta pas nënës sime.’ Spondiliti ankilozant (AS) është një lloj i rrallë i artritit që besohet se shkaktohet nga një gjen i dëmtuar.

Inflamacioni në shtyllën kurrizore e bën shpinën, kafazin e kraharorit dhe qafën të ngurtësuar dhe të dhimbshëm. Inflamacioni shkakton konsumimin e kockave dhe si përgjigje, trupi prodhon kalcium shtesë për të rritur më shumë kocka, ndonjëherë në vendet e gabuara. Ky proces çon në formimin e mëtejshëm të kockave dhe kockat individuale të shtyllës kurrizore mund të bashkohen së bashku. Në raste të rënda kjo mund ta bëjë shtyllën kurrizore të përkulet më shumë përpara.

Ky lloj lakimi i shtyllës kurrizore, i cili duket si një qëndrim i përkulur përpara, quhet kifozë. Sindroma prek rreth 1.6 milionë njerëz në SHBA. Spondiloartriti aksial, një term ombrellë nën të cilin përfshihet A.S, prek një në 200 të rritur në Mbretërinë e Bashkuar.
Familja e Hua, nga qyteti i Yongzhou në provincën Hunan të Kinës Qendrore, nuk kishte para për ta trajtuar atë. Adoleshenti dikur i dobët nuk mund të ulej drejt ose të shtrihej dhe ishte plotësisht i varur nga nëna e tij e moshuar, e cila u bë kujdestarja e tij me kohë të plotë.


 
			 
                                 
                             